湘央医学技術専門学校
臨床検査技術学科
湘央生命科学技術専門学校
応用生物科学科
救急救命学科
愛玩動物看護学科
入学案内
学園について
湘央医学技術専門学校
湘央生命科学技術専門学校
愛玩動物看護学科ブログ

愛玩動物看護学科

ブログ

わんにゃん通信No.838「糞便検査のプロになる!」

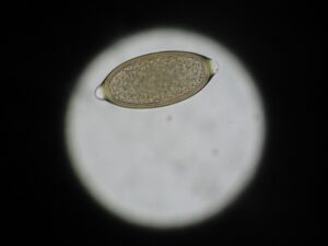
こんにちは。   1年生の動物臨床検査学実習では、寄生虫に関する検査を行っています。 今回は、硫酸亜鉛を使った遠心浮游法で「何か」を見つけます。 方法は、飽和食塩水ではなく硫酸亜鉛を使用します。   先生に用意して頂いた糞便を溶かします。   そこまでは一緒ですが、次に試験管内に少し余裕を持たせて遠心機で回します。 その後表面張力ができるまで硫酸亜鉛を追加し3分待ちます。 さあ、何が見えたのでしょうか。   まずは、こちら。   そしてこちら。   何がいるかを見つけて、それが何かを調べてレポート提出します。 これを繰り返す事によって、糞便検査をマスターします。   ちなみにまだレポート提出前なので、ここに答えは書けませんm(_ _)m 興味のある方は調べてみてください(o^∇^o)   ↓↓クリックお願いします