湘央医学技術専門学校
臨床検査技術学科
湘央生命科学技術専門学校
応用生物科学科
救急救命学科
愛玩動物看護学科
入学案内
学園について
湘央医学技術専門学校
湘央生命科学技術専門学校
愛玩動物看護学科ブログ

愛玩動物看護学科

ブログ

わんにゃん通信No.898「生きているミクロフィラリア観察」

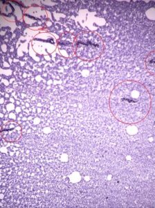
こんにちは(^_^)   寄生虫学の授業で生きているミクロフィラリアの観察をしました。   先ずはフィラリアとミクロフィラリアについて学びます。   今回は直接血液をスライドガラスに垂らして観察する直接法と塗抹をひいて染色した方法で観察しました。   直接法では動いているミクロフィラリアを観察できました(*^∪^*) うねうねと血液の中を動いているミクロフィラリアを観察した学生達は、思っていたよりも動きが速かったのと数が多かったことに驚いていました!! 残念ながら写真だとわからなかったです、、、。   こちらは染色したミクロフィラリアです。(赤丸の中にミクロフィラリアがいます)   今はフィラリア薬を飲んで駆虫している家庭が多いので、生きているミクロフィラリアを見られる機会はなかなかないです。 東京都・神奈川県の動物病院で働いている動物看護師さんの中では、生きているミクロフィラリアを観察したことがない人もいるみたいです。 そのため今回、生きているミクロフィラリアを観察できたのはとても貴重な体験でした!!   今後飼い主さんにフィラリアについて説明するときは、今回のことを思い出して説明してあげてください(^_^)v   ↓↓クリックお願いします