湘央医学技術専門学校
臨床検査技術学科
湘央生命科学技術専門学校
応用生物科学科
救急救命学科
愛玩動物看護学科
入学案内
学園について
湘央医学技術専門学校
湘央生命科学技術専門学校
愛玩動物看護学科ブログ

愛玩動物看護学科

ブログ

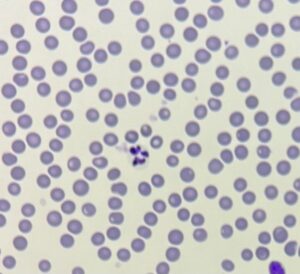
わんにゃん通信No.2228「血液塗抹標本を鏡検しよう!」

みなさん こんにちは🐞   愛玩動物看護学科1年生が 動物内科看護学実習で作製した 血液塗抹標本を鏡検し、血球のスケッチを行いました!   顕微鏡の使い方から行い、 時間があっという間に過ぎるくらい 夢中で顕微鏡をのぞいていました。   スケッチもとても上手にできていました!   ハート型になっている核を見つけて喜んでいました!!   人気ブログランキング 人気ブログランキング