湘央医学技術専門学校
臨床検査技術学科
湘央生命科学技術専門学校
応用生物科学科
救急救命学科
愛玩動物看護学科
入学案内
学園について
湘央医学技術専門学校
湘央生命科学技術専門学校
愛玩動物看護学科ブログ

愛玩動物看護学科

ブログ

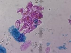
わんにゃん通信No.2070「尿検査🔬」

こんにちは(^-^) 動物内科看護実習Ⅰで尿検査を学びました。尿検査は泌尿器系の状態を調べることができます。 今回は学校犬と学生の家の動物達の尿検査を行いました。   尿検査内容は一般検査・試験紙・比重・尿沈渣があります。 一般検査では色・臭いなどをチェックしていきます。 試験紙は尿中に糖・潜血・蛋白・ビリルビン・ケトンなどが含まれていないかチェックします。 比重は比重計を使用して測定します。   尿沈渣は顕微鏡を使用して、尿中に何か細胞・結晶・寄生虫卵などが ないかチェックしていきます🔬 今回はストラバイト結晶・シュウ酸カルシウム結晶・上皮細胞・白血球・赤血球などが 観察できました。 尿検査は動物病院でも日常的に行う検査でもあります。 しっかり方法を覚えていきましょう!!   また道具を使用する検査は病院で行いますが、家でも尿検査の1つ、一般検査はできます。 尿の臭い・色・量・している時の様子を確認することがとても大切です。 毎日状態チェックして動物たちの健康を把握しましょう🐶   ↓↓クリックお願いします