湘央医学技術専門学校
臨床検査技術学科
湘央生命科学技術専門学校
応用生物科学科
救急救命学科
愛玩動物看護学科
入学案内
学園について
湘央医学技術専門学校
湘央生命科学技術専門学校
臨床検査技術学科ブログ

臨床検査技術学科

ブログ

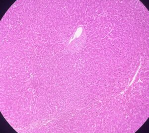
2年:病理組織細胞学実習

髙橋です   すっかり寒さもなくなり、ゴールデンウィークにはもってこいの気候な今日の綾瀬市ですが 1,2年生は本日も授業。   本日の2年生の授業は「病理組織細胞学実習」 前回の実習で自分たちで作製した標本の観察です。   スライドガラスに標本を貼り付けて、「染色操作」したもの   この標本を顕微鏡で観察して、どのような標本か?を当てていきます。 典型的な顕微鏡像の「 〇 臓」   病気の検査をする上で、正常なものを理解しておくことはとても大事。   新年度が始まって早1ヶ月、 これから本格的な検査について色々なことを学んでいかなければなりませんが 毎日コツコツ積み重ねてがんばりましょう!   人気ブログランキング 人気ブログランキング